Vedic Smile

Do No Harm Dentistry

Vedic Smile
Do No Harm Dentistry

Vedic Smile is the combination of modern dental science and technology with the ancient wisdom of Vedic philosophy...

Learn More

MiCD Care

Minimally Invasive Comprehensive Dental Care (MiCD Care) is a holistic approach to dental care, founded on the principles of Vedic Smile...

Learn More

Guided Herbal
Gum Therapy

Gum health is a cornerstone of oral health and overall well-being, significantly impacting immune function, systemic health, and quality of life...

Learn More

Vedic Smile Blog

Oral Spirochetes: The Hidden ...

Read More
May 22, 2025

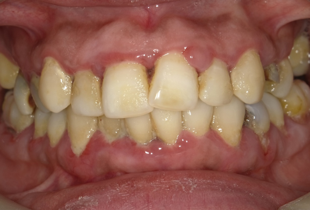
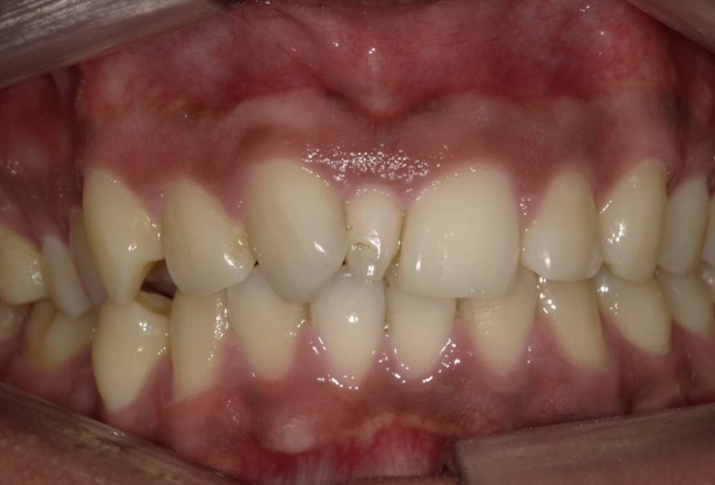
Correcting Anterior Smile

Read More
February 4, 2025

Align Your Smile and Be Confident

Read More
January 28, 2025

MiCD Clinical Journal

MiCD Newsletter