Align Your Smile and Be Confident
Posted by : Admin | Posted on : 28 Jan 2025
- Vedic Smile
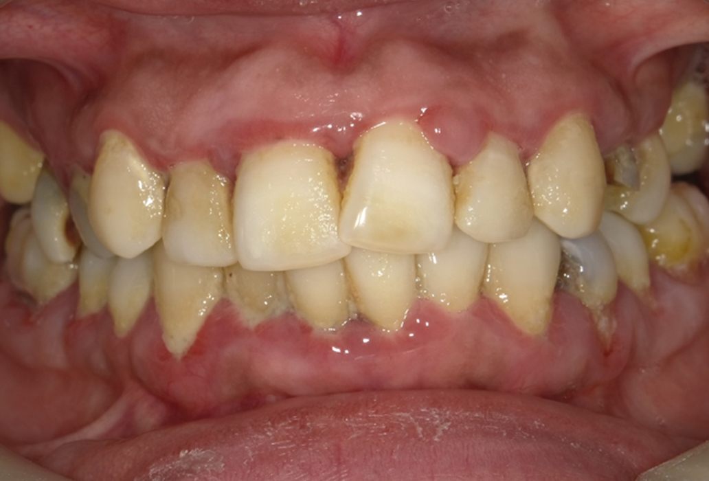
Life has a way of surprising us with both moments of joy and unexpected challenges, often leading to times of reflection. For one wonderful patient in her 50s, this moment came as she prepared for a very special occasion: her son’s wedding. While she was excited about the upcoming celebration, there was something weighing on her mind—her dental health. For years, she had struggled with attrition and tooth sensitivity, which had only worsened over time.
![]() |
Her teeth had gradually worn down, causing constant discomfort and sensitivity. Everyday tasks like eating and even smiling freely had become difficult. As her son’s wedding approached, she realized it was time to make a change. She didn’t want to just look her best for the big day; she wanted to feel great as well. With this in mind, she decided to seek treatment and address her long-standing dental concerns. Upon examination, we diagnosed that a deep bite was at the root of her dental issues, putting uneven pressure on her teeth and leading to the accelerated wear and increasing sensitivity which she had been experiencing. With this insight, we developed a personalized treatment plan tailored not only to her dental needs but also to her age and lifestyle.
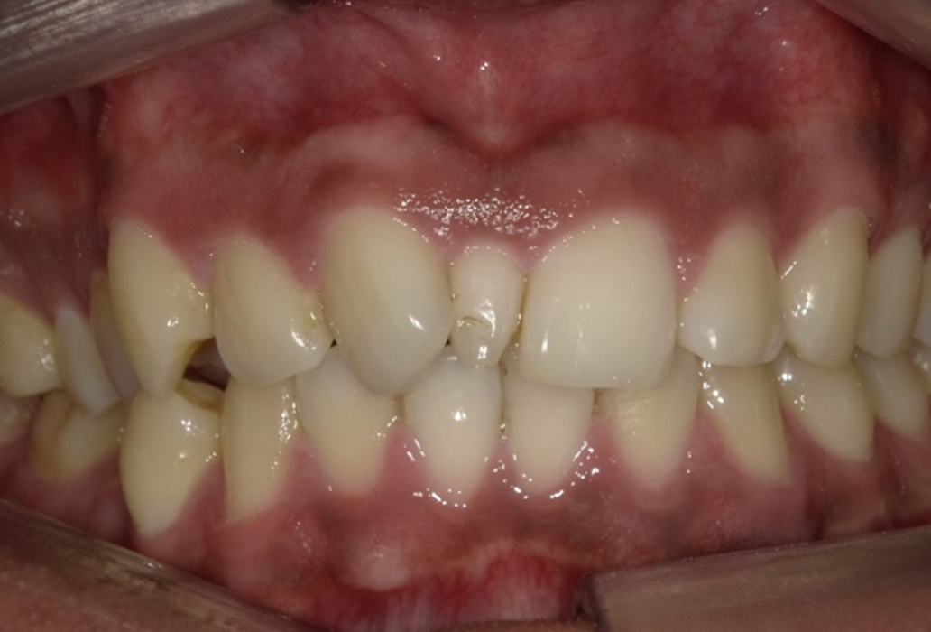
Through orthodontic treatment, we worked to realign her teeth, gradually alleviating the sensitivity and restoring her ability to chew and smile comfortably. As the months went by, her smile transformed. She could feel the difference every day—her discomfort faded, and her confidence grew. By the time the wedding arrived, she was ready to walk down the aisle with a beautiful, healthy smile.
![]() |
This journey was a powerful reminder that it’s never too late to take control of your dental health. Regardless of age, the right treatment can tackle even the toughest challenges. And perhaps most importantly, it reminded us all that at any stage of life, we all deserve to smile with ease and pride.
New Article
|
|
Oral Spirochetes: The Hidden Threat to Your Smile - Vedic Smile |
|
|
Correcting Anterior Smile Aesthetics - Vedic Smile |
|
|
Align Your Smile and Be Confident - Vedic Smile |
|
|
Stop Hiding, Start Smiling - Vedic Smile |
|
|
Give Your Extracted Teeth a Second Chance: The Role of Dentin Grafts - Vedic Smile |
|
|
Smile Makeup: The Power of a Confident Smile - Dr. Priya Shrestha |
|
|
Rooted in Tradition, Driven by Innovation - Dr. Gresha Shrestha |










